И даже муха не пролетит
Однако искусственный интеллект с помощью микрофонов и видеокамер способен контролировать только то, что происходит снаружи человека, но бессилен против того, что внутри. За «внутреннюю жизнь» отвечают другие технологии.
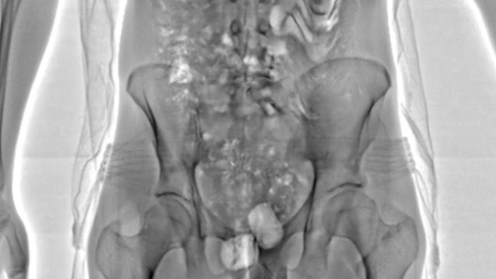
В 16 самых проблемных исправительных учреждениях Великобритании установлены сканеры, которые просвечивают человека и моментально показывают, прячет ли он оружие, мобильный телефон или наркотики. Весь проект оценивается в £28 млн ($38,1 млн). В 2018 году подобное оборудование в тестовом режиме работало в десяти английских тюрьмах и вдвое снизило положительные тесты на наркотики, на 16% случаи нападения.

Тюремный сканер выявил контрабанду наркотиков в желудке одного из осужденных, Великобритания
В английской тюрьме Ле Николль для борьбы с контрабандой в 2017 году впервые в мире использовали «Невидимый щит». Это 600-метровый невидимый воздушный забор, защищающий от дронов, которые перелетали через колючую проволоку и сбрасывали заключенным разную «запрещенку»: оружие, наркотики, мобильники. «Щит» глушит беспилотники электронными передачами, а после отправляет их обратно. Причем оператор летательного аппарата теряет управление и видит у себя только черный экран.
Создатели «Щита» — ноттингемская компания Drone Defence и Eclipse Digital Solutions. Стоимость технологии около £250 тыс ($340 тыс)
Современные программы не только ограждают тюрьмы от контрабанды, от них все больше зависит и быт. В Суза-Барановском исправительном центре, штат Массачусетс, нет привычных железных ключей. Системой безопасности управляют 42 пользовательских интерфейса (GUI), которые запирают и отпирают 1 705 дверей, в том числе в камеры и душевые кабины. Они сами подключают светильники, розетки, воду, домофоны, пожарную сигнализацию и автомобильные ворота.
Как и любая компьютерная система, тюремная версия может «глюкнуть». В 2013 году в одной из тюрем Флориды компьютер открыл камеры в крыле максимальной безопасности К-81. В результате этого двое заключенных попытались напасть на третьего. Проверка так и не выяснила, что это было: хакерская атака или система действительно дала сбой
Загон для собак (2009, Франция, Канада)
Жанр: криминальная драмаРежиссер: Ким ШапиронСценарий: Джереми ДелонВ ролях: Адам Батчер, Шэйн КиппелКиноПоиск: 7,2IMDb: 7
Второй в топе сюжет про колонию для подростков, и тут в отличие от «Короля чертова острова» создатели не слишком заботятся о чувствах аудитории. Скотобойня, где из малолетних нарушителей закона всеми доступными способами выбивают остатки человечности.
Бутчу семнадцать, и он оказался в колонии, потому что напал на надзирателя в другом исправительном центре. Дейвису шестнадцать, и он попал в колонию за наркоторговлю. Энджелу пятнадцать, и он в колонии за кражу автомобиля. Каждый из этих персонажей видел в жизни больше насилия и жестокости, чем многие взрослые, и каждый выбирает в новом месте заключения свою роль. Кто-то сразу оценивает местных авторитетов и готовится пригнуть к земле всех, кто посмеет оспорить его силу; кто-то попытается заработать себе имя с помощью связей и самоуверенности; а кто-то затаится в углу с упрямым намерением проглотить любое унижение — только бы выжить. Вот только из стен колонии все равно никто не выйдет без серьезных травм. Если кто-то вообще выйдет.
Трейлер:
Преступник (2008, США)
Жанр: триллер, драма, криминалСоздатель: Рик Роман ВоВ ролях: Стивен Дорфф, Вэл Килмер, Гарольд ПерриноКиноПоиск: 7,6IMDb: 7,4
У нас уже была трилогия вестернов и трилогия викингов, а в этом списке будет тюремная: «Преступник», «Стукач» и «Выстрел в пустоту». Правда, второй фильм в этот топ не вошел: Рик Роман Во, создатель трилогии, в «Стукаче» уходит от драматического триллера в тесном пространстве из решеток и голого камня к бодрому боевику, в котором Дуэйн Джонсон, чтобы спасти сына от заключения, внедряется в наркокартель. Так что поговорим только о «Преступнике» и о «Выстреле в пустоту».
В первой картине трилогии уровень напряжения взорвал бы любой термометр. Во многом из-за того, что большинство драк тут не постановочные: в массовке снимались бывшие заключенные, и бои с их участием вполне настоящие. Главный герой (актер Стивен Дорфф во время съемок дважды получил сотрясение мозга) попадает в тюрьму случайно: Уайд Портер — примерный муж и отец, и к трем годам его приговорили за случайное убийство грабителя. Вор, получивший мощный удар битой от храброго главы семейства, скончался уже вне дома Портера, где спасительная самооборона уже не действует. В итоге, несчастный Уайд, потерявший все из-за жестокой случайности, едет в автобусе в тюрьму. Но и здесь парню тотально не везет: Портера втягивают в свои разборки скинхеды, и теперь Уайду предстоит попасть в отделение строгого режима. Совсем уже отчаявшийся герой думал, что хуже быть не может, но нет. В месте заключения Портера охранники-садисты устраивают ежедневные спарринги между арестантами, а несогласных с установленными порядками убивают сами. И тут уже кажется все: вот оно — дно. Но судьба Уайда — это бесконечное падение в Марианскую впадину: сокамерником Портера становится молчаливый бородач, убивший семнадцать человек. Мужчина с простым именем Джон Смит и очень непростой судьбой: вдовец, отец, потерявший ребенка, мститель. Джон Смит из тех, кому явно не подходит какое-нибудь небрежное «зек» — этот угрюмый философ-убийца мог бы подружиться с доктором Лектором. С таким соседом жизнь Уайда становится совсем ужасной, но начальник охраны вскоре находит способ уничтожить Портера окончательно.
Трейлер:
Почему на доброго семейного человека сваливается такой сюжет — непонятно. Зато на примере этого кино ясно, о чем пел Канье Уэст: все, что не убивает Уайда Портера, делает его сильнее, яростнее и умнее.
Камера 211 (2009, Франция, Испания)
Жанр: боевик, триллер, драма, криминалСоздатель: Даниэль МонсонВ ролях: Луис Тосар, Альберто Амман, Антонио РесинесКиноПоиск: 7,6IMDb: 7,6
Сюжет с оригинальной завязкой: главный герой здесь попадает в тюрьму без судов, следствий и приговоров. Точнее, его приговором становятся трусость и эгоизм окружающих.
Хуан Оливер — очень ответственный мужчина. Накануне своего первого рабочего дня будущий охранник решает познакомиться с коллегами, обычаями и территорией зоны. Но в результате несчастного случая Хуан оказывается в одной из камер для особо опасных преступников в разгар тюремного бунта. Другие охранники поспешили убраться из-под ударной волны, а Оливеру приходится молниеносно придумывать себе криминальную легенду, чтобы выдать себя за одного из заключенных и выжить среди бунтующих уголовников.
Трейлер:
В картине практически нет саундтреков, нет геройского пафоса и морализаторства. Кажется, что создатели в этом кино из любопытства ставят эксперимент, похожий на исследование Филиппа Зимбардо. Так что эта лента для любителей серьезного, реалистичного кино, которое создает и держит саспенс не за счет шокирующего натурализма и непрерывной жестокости, а с помощью выверенного психологизма.
Колония Дигнидад (2015, Германия, Франция)
Жанр: драмаСоздатель: Флориан ГалленбергерВ ролях: Эмма Уотсон (Гермиона Грейнджер, Красавица Бель), Дэниель Брюль («Гонка», «Бесславные ублюдки») КиноПоиск: 7,3IMDb: 7,1
Жуткая, основанная на реальных событиях история о тайной тюрьме в Чили. В 60-70-х годах в колонию Дигнидад попадали многие сторонники социализма и борцы за права и справедливость. Пленники засекреченной тюрьмы, основанной немецкими нацистами, просто стирались из жизни: у жителей колонии не было ни документов, ни денег, ни возможности сохранить свою личность. Все, что у них было — это жестокий диктатор, основатель колонии Пауль Шефер, которого арестовали лишь в начале 2000-х и приговорили к тридцати годам за сексуальное насилие над детьми и за пытки своих жертв. На территории колонии был запрещен брак и вообще любые контакты с противоположным полом, женщины, мужчины и дети жили в разных помещениях. За нарушения режима — публичное избиение или пытки психотропными веществами. И все это под прикрытием лозунга «Бог, труд, дисциплина» и статусом благотворительно-образовательного общества.
В фильме героиня Эммы Уотсон, прикинувшись фанатичной баптисткой, отправляется в колонию, чтобы спасти своего мужа — пленника Дигнидада по политическим причинам.
Трейлер:
Победит ли ИИ коррупцию
В китайской тюрьме Яньчэн, провинция Хэбэй, искусственный интеллект не только следит за осужденными, но и приглядывает за надзирателями. Яньчэн называют VIP-учреждением, здесь сидят партийные чиновники, иностранцы и экономические преступники.
Здесь отбывает свой пожизненный срок Богу Кайлай, жена бывшего члена политбюро Бо Силая, в 2012 году осужденная за отравление британского бизнесмена Нила Хэйвуда. Тут же содержится бывший вице-президент Китайской футбольной ассоциации Нань Юн, в том же году приговоренный к 10,5 годам за подкуп судей и организацию договорных матчей.

Площадь газонов в Яньчэн — как три футбольных поля, размер камер — как среднестатистическая квартира в Нью-Йорке, есть также тренажерный зал и даже коктейль-бар
(Фото: publico.es)
Теперь они, как и остальные 1 600 обитателей тюрьмы, находятся под неусыпным контролем. По всему периметру установлены скрытые датчики и камеры, каждая следит за 200 объектами. В режиме реального времени они передают данные центральному компьютеру, который в конце дня выдает полный отчет о том, что делал подопечный. Если поведение человека покажется ИИ подозрительным (например, наблюдаемый целый день только и делал, что ходил по камере туда-сюда), он тут же подаст сигнал тюремному начальству.
В компании-разработчике Tiandy Technologies заявили, что продукт не только исключит побеги, он способен сделать нечто большее, намекая, что под «умными» камерами теперь находятся и потенциальные коррупционеры-надзиратели.
Музей в наше время
Остров Алькатрас и одноименная тюрьма стали известны во всем мире благодаря кинофильмам и книгам, описывающим жизнь заключенных и биографии. Сегодня, когда тюрьма официально закрыта и превращена в музей, нет отбоя от желающих посетить это таинственное и мрачное место. Около миллиона туристов ежегодно посещают Алькатрас.

Обратите внимание! На Алькатрас предлагают как дневные, так и ночные туры. Последний вариант дороже, но позволяет максимально проникнуться гнетущей атмосферой одной из самых известных тюрем мира
Что можно увидеть на острове:
- оставшиеся с военных времен орудия, обмундирование;
- тюремные помещения — кухню, столовую, камеры, изоляторы, внутренний дворик;
- предметы быта заключенных, результаты их творчества, оружие надзирателей, ключи от камер, кандалы, фотографии и многое другое.
В туристическом магазине можно купить сувенирную продукцию с маркировкой «Алькатрас», например, металлические кружки, как у заключенных.

Алькатрас — это не просто тюрьма с жестким режимом содержания заключенных. Это часть истории как Соединенных Штатов Америки, так и мировой преступности. Остров стоит посетить, чтобы прикоснуться к этой истории.
Пророк (2009, Франция, Италия)
Жанр: драма, криминалРежиссер: Жак Одиар («Братья Систерс», «Ржавчина и кость»)Сценарий: Томас Бидеген («Братья Систерс»)В ролях: Тахар Рахим, Нильс Ареструп, Адель БеншерифКиноПоиск: 7,5IMDb: 7,9
Малику девятнадцать. Этот арабский юноша не умеет читать и писать, у него нет ни друзей, ни родных, зато есть приговор — шесть лет во французской тюрьме. Кажется, что до конца срока парень просто не доживет: и возраст, и характер, и внешность Малика выносят ему повторный неутешительный приговор. Но лидер группы корсиканцев Лучиано решает поиграть с новой игрушкой и дает Малику ряд сложных поручений. И снова кажется, что молодой араб обречен — одна ошибка, и жизнь никому неизвестного, неприметного подростка оборвется где-то в грязной бетонной коробке на отшибе чужой страны. Но Малик выживает и становится авторитетным членом местной мафии. А в сюжете всплывает немой вопрос: тюрьма — это ведь место, которое должно исправлять?
Трейлер:
Фильм получил гран-при Каннского кинофестиваля и девять наград на премии «Сезар» (французский «Оскар»), в том числе как «Лучший фильм», за лучшего актера, лучшую режиссуру, операторскую работу и за лучший сценарий.
Бои без правил (2017, Великобритания, Франция)
Жанр: триллер, драма, приключения Режиссер: Жан-Стефан Совер («Джонни — бешеный пес»)Сценарий: Билли МурВ ролях: Джо Коул («Острые козырьки»), Витхая Пансрингарм, Порнчанок МабклангКиноПоиск: 6,4IMDb: 6,9
Экранизация мемуаров Билли Мура — британца, который попал в таиландскую тюрьму за хранение наркотиков.
Клаустрофобный ад тут доведен до своего предела. Крошечный барак, несколько десятков потных мужчин, испытывающих лишь злобу и ненависть, ни кроватей, ни матрасов, ни столов, зловоние и грязь, впитавшиеся в стены — тесный, кошмарный мир, и главный герой даже не знает местного языка. Добавляется к этому всему убийственная жара и жуткие ливни, а в итоге — кромешный мрак, отчаяние и безысходность. И все это снято с документальной точностью (здесь, кстати, тоже приняли участие реальные заключенные, побывавшие в тюрьмах Тайланда) и тошнотворным натурализмом (смотреть иногда откровенно мерзко). Картина не для любителей остросоциальных драм о невинно осужденных.
Трейлер:
С другой стороны, главный герой здесь похож на персонажей из таких драм: Билли Мур в ходе сюжета обретает смысл жизни и выходит в финальный раунд с самим собой, хотя в начале фильма легкомысленный британец не вызывает ни капли симпатии. Билли решает участвовать в тюремных соревнованиях по тайскому боксу, и спортивные бои становятся спасительным билетом для Мура. Не только к свободе, но и к нормальной жизни после заключения.
Тюремный Instagram и виртуальная реальность
Несмотря на то, что внешний мир включает в себя социальные сети, конференц-связь и мессенджеры, тюрьмы по большей части остаются технологически мертвыми зонами. Попадая туда, человек выпадает из современной жизни на все время заключения. Если оно достаточно долгое, выйдя наружу, осужденный рискует не догнать прогресс.
В 2004 появился Facebook, в 2007 Стив Джобс представил первый iPhone, в 2010 мир узнал об Instagram. Инновации меняют и тюремные коммуникации, оказываясь внутри пенитенциарной системы. В США появились соцсети Prison-tech — приложения для заключенных, с помощью которых они общаются с внешним миром. Самые популярные — Pigeonly, Flikshop и InmateAid.
Эти три стартапа, созданные бывшими заключенными, заметно снижают расходы на связь, в некоторых случаях до 90%: обычный звонок обходится до 21 цента в минуту, а ежемесячная подписка на InmateAid — от $5. Сервисом пользуется более 1,2 млн американцев, это и заключенные, и члены их семей на свободе.
Нечто похожее существует и в России. С 2008 года у нас в стране работает площадка «ФСИН Письмо», где можно отправить электронное сообщение, загрузить фотографии или оплатить бланк для ответного письма. Минимальная стоимость — ₽55 за 1 страницу и ₽30 за фотографию. На цифровую модернизацию, в том числе разработку новых ИТ-сервисов, правительство РФ готово выделить 380 российским тюрьмам ₽25 млрд в 2021–2023 годы.
Цифровизированной будет и новая тюрьма Веллингборо, которую осенью 2021 года обещают достроить в Нортгемптоншире, Англия. Ее оценивают в £253 млн ($347,3 млн).

Пространство тюрьмы Веллингборо напоминает кафе IKEA, что, по мнению архитекторов, отвечает концепции тюрем XXI века
(Фото: brydenwood.co.uk)
С помощью моделирования виртуальной реальности архитектурное бюро Bryden Wood создало проект, в котором предложило отказаться от решеток на окнах, расположить камеры небольшими группами и выполнить ландшафтный дизайн в тюремном дворе. Правда, скорее всего, этот концепт так и останется только на бумаге.
Интересные факты о тюрьме Алькатрас
До сих пор многие ошибочно полагают, что на Алькатрас отправляли самых опасных преступников, отъявленных головорезов. На самом деле это не так. Туда ссылали тех, кто нарушал тюремный режим уже находясь в стенах других учреждений. Это было оправдано суровыми условиями содержания в Алькатрасе и невозможностью побега из-за холодных вод залива Сан-Франциско.
Особенности содержания преступников
Тюрьму на острове Алькатрас по праву считают исправительным учреждением с самым строгим режимом. Для содержания преступников там было выделено 600 камер, поделенных на четыре блока — A, B, C, D. Последний блок предназначался для самых опасных нарушителей законов.

Немного об особенностях содержания заключенных:
- тюремные камеры были индивидуальными, но очень маленькими;
- все привилегии, даже посещение библиотеки, заключенные заслуживали безукоризненным поведением и трудом;
- за малейшую провинность следовали суровые дисциплинарные взыскания — ношение цепей, помещение в изолятор;
- встречи с родственниками — привилегия, доступная самым упорно трудящимся;
- стричься разрешалось не чаще, чем раз в месяц, а бриться — один раз в неделю;
- утренний подъем — в 6:30, потом следовала уборка камеры, завтрак.

Интересный факт! При начальнике тюрьмы Джейме А. Джонстоне в Алькатрасе действовала так называемая «политика тишины». Несколько дней в неделю заключенным запрещали издавать какие-либо звуки. После смены руководства «политику тишины» в тюрьме упразднили.
Попытки побега из Алькатраса
История Алькатраса знает 14 попыток побега, в которых участвовало 34 заключенных. Назвать их удачными нельзя. Одних застрелили, другие утонули, кто-то сдался сам или был пойман охранниками. Лишь 5 человек официально признаны пропавшими без вести. Может, им и удалось преодолеть холодные воды залива Сан-Франциско.
Самые известные попытки побега:
- 1937 год, Теодор Коул и Ральф Роу — сбежали, сломав оконную раму. Предположительно утонули, так как в день побега была плохая погода, однако официально считаются пропавшими без вести.
- 1945 год, Джон Джайлс переоделся в украденную из прачечной армейскую форму и с военнослужащими попытался уплыть в Сан-Франциско. Отсутствие заключенного быстро обнаружили, к тому же, сотрудники тюрьмы отправились всего лишь на близлежащий остров.
- 1946 год, Бернард Кой и Джозеф Кретцер взяли в заложники 9 охранников, выкрали оружие со склада, но не смогли найти ключ от тюремного корпуса. Порядок в тюрьме был восстановлен только после перестрелки и штурма Алькатраса со стороны берега.
- 1962 год, Фрэнк Моррис и братья Энглины самодельной дрелью выковыривали куски бетонной стены, чтобы попасть в служебный тоннель. Для переправы через залив изготовили плот из резиновых плащей. Признаны без вести пропавшими.

Побег Фрэнка Морриса и братьев Энглинов лег в основу сюжета художественного фильма. «Побег из Алькатраса» режиссера Дона Сигела имел большой успех. Главную роль в фильме исполнил Клинт Иствуд.
Жители острова Алькатрас
На острове, помимо тюрьмы, находились служебные постройки для персонала и их родственников. В 1936 году там проживало 126 женщин и около 50 детей. Однако из-за специфики исправительного учреждения у обычных граждан были определенные ограничения. Так, руководство тюрьмы запретило разводить домашних животных.
Чтобы дети и взрослые могли как-то обеспечить свой досуг, на острове построили бейсбольное поле. Также для семей сотрудников был открыт продуктовый магазин. В случае необходимости они могли отправиться на «большую землю» на специальном катере. На катере дети сотрудников каждый день плавали через залив в школу.

Вместо людей — машины
Мировая пенитенциарная система постепенно оценивает преимущества, которые дают современные технологии. Где-то быстро, а где-то медленно тюрьмы адаптируются под новые условия, в которых живет мир по ту сторону колючей проволоки. Администрациям учреждений это на руку, главная выгода — персонала требуется все меньше. Функцию соглядатаев берут на себя машины.

Скрыть что-либо от искусственного интеллекта практически невозможно
Еще в 2006 году в Нидерландах открылась тюрьма Лелистад, которую тут же окрестили «тюрьмой Большого брата». Центральный компьютер получает звук с микрофонов с программой распознавания эмоций, анализирует тон и громкость голоса и предупреждает охрану, если сочтет нужным, что заключенные готовы подраться. Причем программа способна отличить, когда болельщики активно переживают за игру своей футбольной команды по ТВ от ситуации, когда разговор на повышенных тонах может быть предвестником конфликта.

В тюрьме Лелистад возле каждой кровати есть планшет, на котором заключенный составляет собственное расписание на день: он может выбрать спортивные занятия, отдых, личное развитие, образование и активный отдых
(Фото: Phil Nijhuis / Hollandse Hoogte )
Все обитатели Лелистад носят электронные браслеты с радиочастотными RFID-метками, которые посылают сигнал каждые две секунды и начинают пищать, если владелец отклонился от разрешенного маршрута. Такой технологичный контроль позволил разгрузить персонал: на 150 осужденных теперь требуется шесть охранников вместо 15 привычных.

Электронные браслеты подадут сигнал, если их попытаются снять. Тюрьма округа Кук, США
(Фото: Armando L.Sanchez / Chicago Tribune)
Правительство индийского штата Уттар-Прадеш решило, что первичнее звука — картинка. В своих 70 тюрьмах оно интегрирует платформу видеоаналитики «Джарвис» (JARVIS), от которой невозможно скрыться. Платформа распознает лица с любой стороны, человек при этом может находиться в движении. Система от Staqu — компании, которая известна своими техническими стартапами — использует 700 камер, установленных в периметре 900 км, сканирует информацию с камер видеонаблюдения в разных тюрьмах.
Сингапур тестирует «умные» камеры в рамках трансформационной концепции тюрем без охраны. Прототип видеоаналитики Avatar в тюрьме Чанги считывает акты агрессии с помощью заранее заданного алгоритма.
Король чёртова острова (2010, Норвегия)
Жанр: триллер, боевик, драма, криминалРежиссер: Мариус ХольстСценарий: Деннис Магнусом, Эрик ШмидВ ролях: Беньямин Хельстад, Тронд Нильссен, Стеллан Скарсгард, Кристоффер ЙонерКиноПоиск: 7,5IMDb: 7,5
А теперь снова к Норвегии. Остров Бастой — это одна из самых известных в мире тюрем. И известна она не тем, скольких там изнасиловали, убили и довели до суицида, и даже не бунтами и побегами. Бастой — это место, где в уютных домиках нарушители закона учатся видеть в мире лучшее. Там есть библиотеки, спортцентр, интернет, работа по восемь часов в день — с зарплатой и официальным отпуском. Но гуманность царила на острове не всегда — в прошлом веке там находилась суровая колония для несовершеннолетних.
Номера вместо имен, чтения Писания вместо образования, тяжелый физический труд вместо воспитательной работы. В этом кино не будет сцен невыносимой жестокости, здесь минимум физического насилия и сдержанный тон повествования. Такой подход сделал фильм трагичным и мрачным, но не душным — даже впечатлительным зрителям не захочется отвернуться от экрана. И главное — чувства молодых заключенных переданы отлично: злоба, страх, отсутствие каких-либо жизненных ориентиров. Большинство детей на Бастое волнует только одно — заполучить заветную подпись начальника, чтобы вырваться на свободу
Какой ценой — не важно. Предать соседа, подставить младшего ребенка, запугать новичка
Только бы заработать галочки за примерное поведение. Вот только прибывший на остров Эрлинг никак не может привыкнуть к местным порядкам и позволяет себе то, о чем здесь нельзя даже заикнуться: Эрлинг мечтает. Парень думает о побеге и о том, как станет моряком. Но ждет героя не свободное плавание, а перевод во взрослую тюрьму за убийство офицера. Фактически это смертный приговор. Но своим свободным духом и отказом жить по установленным правилам Эрлинг совершает еще один немыслимый подвиг: заставляет других подростков услышать голоса совести, веры и надежды. Брошенные и несчастные дети против двуличных, высокомерных взрослых — и все они в безжалостной мясорубке общего равнодушия.
Трейлер:





































